Příspěvky na dentální hygienu pro rok 2018
Jako tomu bylo i v předchozích letech i tento rok dávají pojišťovny příspěvky na dentální hygienu. Seznam a více informací o konkrétní pojišťovně naleznete níže.
3 důvody proč jít na dentální hygienu
Důvodů proč navštívit dentální hygienistku je mnohem víc, my vám zde uvedeme tři nejdůležitější. Veškeré podrobné informace o dentální hygieně naleznete zde.

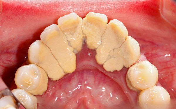
Zubní kámen
Zubní kámen nikdy nezpůsobuje bolest, ale je příčinou vzniku zánětu dásní a ten již bolest způsobuje. Zubní kámen nelze odstranit kartáčkem a pastou – musí ho odstranit profesionál speciálními nástroji.

Správné návyky
Pokud si zuby nečistíte správně, tak je jedno, jak často to děláte. Hygienistka vám ukáže, jak si správně čistit zuby, nacvičíte si čistící techniky i spolu projdete pomůcky na čištění zubů.

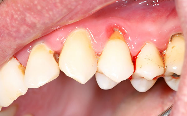
Paradentóza
Paradentóza může skončit až ztrátou zubů, a navíc se napadená dáseň už nikdy neobnoví! Proto ji nepodceňujte. Předejdete ji správným čištěním zubů a používáním správných pomůcek.
Jak uplatnit příspěvek
Na klinice zaplatíte běžnou částku za dentální hygienu – nezapomeňte si vzít doklad, který nesmíte ztratit. Budete ho totiž potřebovat při uplatňování nároku na příspěvek od pojišťovny. Podmínky uplatnění příspěvku má každá pojišťovna trochu jinak, více informací se dozvíte níže.
ČPZP 205
Příspěvek na dentální hygienu je možné čerpat pouze v rámci programu Bonus Plus, ve kterém je nutná registrace. Poté na základě bodů nasbíraných v rámci preventivních prohlídek můžete čerpat příspěvek. Příspěvek je ve výši 500 Kč. Více informací se dozvíte zde.
VZP 111
Všeobecná zdravotní pojišťovna přispívá těhotným ženám až ve výši 1 000 Kč na dentální hygienu nebo na balíček dentální hygieny zakoupený v lékárně v době těhotenství (zubní a mezizubní kartáčky, zubní pasty, dentální nitě, ústní vody). Příspěvek na dentální hygienu je možné čerpat, pokud byla provedena v době těhotenství. Dentální hygienu provedenou po porodu již nelze do příspěvku zahrnout. Maminka má možnost čerpat příspěvek do výše 1 000 Kč, avšak tato částka je brána jako příspěvek na těhotenství. Je tedy na každé mamince, zda bude čerpat příspěvek na prvotrimestrální screening či dentální hygienu, nebo na těhotenské cvičení atd... Více informací si můžete přečíst zde.
Jak čerpat příspěvek: Je třeba doložit originální tištěný doklad o zaplacení dentální hygieny, v případě platby kartou doklad z platebního terminálu či výpis z účtu klientky. Doklad musí být zaslán nejpozději do 30.11.2018. K žádosti o příspěvek je třeba doložit těhotenský průkaz nebo rodný list dítěte.
VOZP 201
VOZP poskytuje příspěvek do výše 400 Kč jednou za rok pro pojištěnce starší i mladší 18 let v programu Zdraví a do výše 500 Kč v programu Rodina vojáka.
OZP 207
Tak jako v předchozích letech je možné příspěvek na dentální hygienu získat díky výhodám kreditního systému VITAKONTO. Díky tomuto systému získají klienti OZP v roce 2018 příspěvky na dentální hygienu ve výši od 553 Kč až do 4 590 Kč. Dále mohou klienti OZP získat příspěvek na dentální pomůcky od 192 Kč do 1 158 Kč.
ZPMVCR 211
Poskytuje příspěvek pro děti do 18 let na nácvik dentální hygieny do výše 500 Kč. Více informací se dozvíte zde.
ZPŠ 209
Na dentální hygienu nepřispívá. Přispívá na pomůcky a prostředky ústní hygieny od 500 Kč do 3 000 Kč. Více informací se dozvíte zde. Pojišťovna má také preventivní program pro děti Zdravé zoubky dětem.
RBZP 213
Zdroj: http://www.asociacedh.cz/